
지금까지 특별하게 몸의 이상없이 잘 지내다가 어떠한 질환을 판정 받았다고하면 왜 나는 남들과는 다를까하는 생각에 누구나 크게 좌절하게 됩니다.
저 역시 건강하게 잘 지내왔다가 생리주기에 문제가 생긴것 같아서 부인과진료를 받으러 갔다가 다낭성난소증후군을 진단 받았습니다.

다낭성난소증후군이라는 진단을 받고 너무나 충격적이었는데 의사는 별거 아닌듯이 말을하더군요.
가임기 여성들에게 흔히 있는 질환으로 완치는 어렵지만 관리만 잘해주면 임신도 가능하며 건강에 크게 문제는 없다고 하였습니다.


다낭성난소증후군하면 호르몬의 문제가 주 원인이라고 알고 있어서 불임이 되는건 아닐까라는 생각부터 들기 마련인데요, 지금부터 이 질환에 대해 보다 자세하게 알아보도록 하겠습니다.
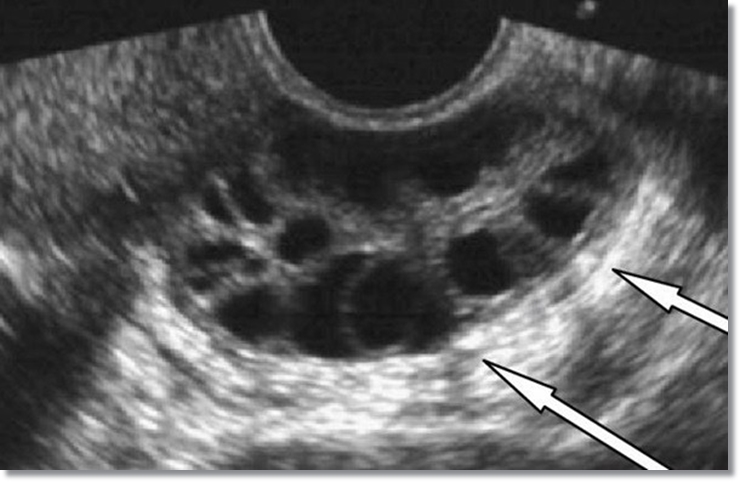
다낭성 난소증후군(PCOS)이란?
호르몬 불균형으로 인해 난소에 많은 작은 낭종이 생기면서 커진 난소와 여러가지 특별한 증상이 존재하는 증상입니다.
원인
아직까지 정확한 원인은 밝혀지지 않았지만 유전적인 요인이 크다고 합니다. 난소에서 생성화는 호르몬 불균형으로 인해 발생되는 질환이며 건강 및 생활방식의 요인에 의해 발병할수 있다고 합니다.


안드로겐의 수치가 높아지면 다낭성난소증후군이 유발된다고 하는데요, 이는 남성적 속성 발달과 연관 되는 남성호르몬 입니다.
증상
배란장애로 인해서 불임 또는 희발월경 그리고 무월경 증상 등 생리불순이 있습니다.

눈에 띄는 신체적 변화가 나타날수 있는데 월경 주기에 정상적으로 난자 배출을 해야하나 이를 억제하기 때문에 머리카락이 빨리 자란다거나, 심하면 팔과 다리, 배꼽 주의 부분에 체모가 자라납니다.
불필요한 호르몬 분비로 인해 피부에 영향으로 주어서 여드름이 나게 됩니다.
또한 인슐린 수치가 상승이 되면서 소화를 잘 안되거나 음식조절이 잘 되지 않아서 체중이 증가하고 체중 관리가 쉽게 되지 않습니다. 정상적인 여성과 비교했을 때 과체중일 가능성이 2~3배 정도 높다고 합니다.
치료방법
안타깝게도 다낭성난소증후군을 완치할수 있는 방법은 없다고 합니다. 그래서 생활 습관을 바꾸면서 더이상 진행이 되지 않도록 관리해주는것이 가장 좋습니다.


체중조절
남성호르몬 증가로 인해서 고지방음식에 욕구가 생기고 식욕을 억제하는 호르몬 수치가 달라지기 때문에 식사 조절이 힘들게 되는데요,
비만은 만병의 근원이니 만약 체중이 많이 나간다면 저탄수화물 위주 식사와 당도가 낮은 음식을 섭취하여 체중을 조절해줘야 합니다.
체중조절을 하게 되면 어느정도 정상 난소 기능을 되찾을 수 있습니다. 또한 고인슐린혈증 및 고지혈증 치료에도 효과가 있으니 가장 우선적으로는 체중조절을 하는 것이 중요합니다.
규칙적인 운동
적절한 운동은 근육량을 적당히 늘려주고 체중 감소에 도움이 되기 때문에 다낭성증후군 있는 분들 뿐만 아니라 평소에 늘 습관적으로 하는 것이 좋습니다.
호르몬 치료
가임기 여성들에게 흔히 나타나는 질환이다보니 임신을 준비하는 여성에게는 걱정이 많을텐데요,
호르몬 치료를 통해서 배란을 유도해서 임신을 가능하게 할 수가 있습니다.
임신의 목적이 아니더라도 배란장애 및 생리가 불규칙하면 자궁내막암의 원인이 될 수 있기에 전문의와 상의하여 자궁내막을 보호 하기 위한 호르몬 치료를 하는것이 좋습니다.
저도 임신을 준비하고 있는지라 해당 질환에 대해 관심이 많아서 다낭성난소증후군에 대해 자세히 알아보았는데요,

도움이 되셨길 바라며 치료방법이라고 해서 어렵거나 복잡한게 아니니 작은 생활습관부터 바꾸고 임신을 준비하고 있다면 좋은 소식이 있길 바랍니다.