
최근에 태아보험에 대해 알아보면서 보장 항목 중에서 어린이에게 발병되는 질환 중에서 모야모야병에 대해 보았어요. 질환명이 독특하고 어린이에게 생길 수 있는 질병이라고 해서 더욱 관심을 갖게 되었습니다.
이번시간에는 모야모야병이 무엇인지 알아보도록 하겠습니다.
목차


모야모야병이란
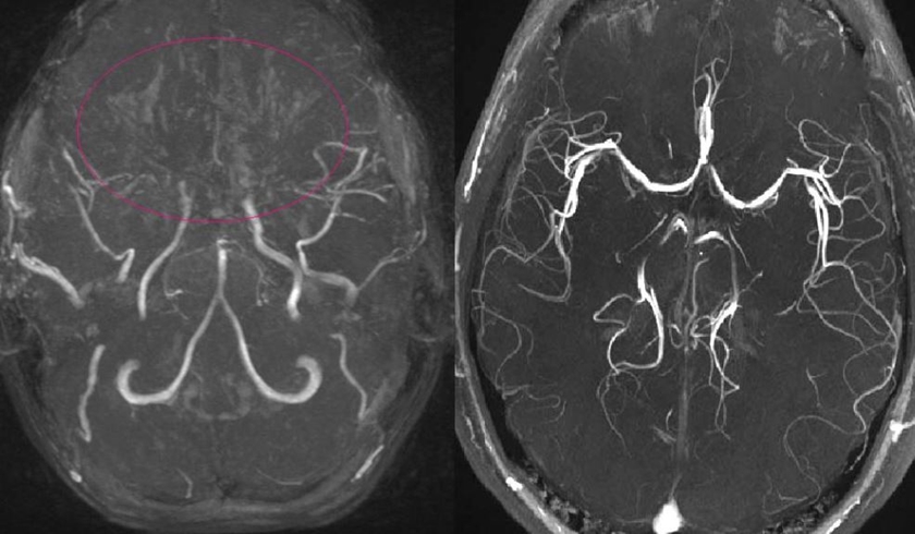
모야모야라는 단어는 일본어인데요, 아지랑이 연기가 희미하게 피어오르는 모양이라는 뜻이랍니다. 최초 이 병을 발견한 사람이 일본인이라서 모야모야병이라는 병명이 만들어지게 된 것이죠.
모야모야병은 뇌질환입니다. 뇌혈관이 좁아지거나 막히게 되어서 허혈이 진행하게 되면 뇌기저부에 이상혈관이 만들어 지게 되는데 이상혈관의 모양이 연기가 피어오르는 모양처럼 보인다고 합니다.
결국 좁아진 혈관으로 인해 혈류 공급 이상이 발생하면서 뇌졸중을 일으키게 됩니다. 해당 질환은 현재까지 특별한 원인이 없어서 희귀난치성 질환으로 분류 되어 있어요.




모야모야병은 통계상 매년 천명이상 발병이 되고 있고 소아청소년기와 40~50대 연령에서 많이 발병하고 있습니다. 또한 남자보다는 여자 환자 비율이 높은편입니다.
증상
모야모야병은 증상이 나타나면 빠르게 의심을 해보고 검사를 받는것이 좋습니다.
소아의 경우 초기증상은 울고 난 뒤에, 또는 심한 운동을 하고나서 일시적으로 팔과 다리에 힘이 빠지게 되는 운동 마비나 언어장애가 생깁니다.


이 증상이 반복이 된다면 영구적으로 팔과 다리 마비와 언어장애가 남게 됩니다. 심한경우에는 전신발작과 혼수상태까지 되는 경우도 있습니다.
성인 모야모야병 증상은 갑작스러운 두통이 심해져서 시작하는 뇌출혈로 인해 병원을 방문하게 되는데요, 절반이상이 의식상실과 반신마비 등을 동반한 출혈성 뇌졸중이 생기게 됩니다.
기억력이 저하 되거나 간질로 인해 검사를 받는 경우 모야모야병 진단이 나오기도 합니다. 성인 모야모야병 또한 언어장애를 동반하고 시야장애도 생깁니다.




치료방법
모야모야병은 난치병이다보니 아직까지는 근본적인 치료방법이 없는 것으로 알려져 있습니다. 수술방법은 간접 혈관 문합술과 직접 혈관 문합술 2가지인데 소아의 경우는 두가지 방법 모두 효과가 있고 성인은 더 효과가 좋은 직접 혈관 문합술로 진행을 한다고 합니다.
확실히 증명된 약물치료도 없는 상태라서 수술을 통해 치료를 하고 있는데요, 모야모야병을 완치하는 개념이 아닌 혈류를 개선시켜 준다고 보시면 됩니다.
예방법
원인이 명확히 밝혀진 질병이 아니다보니 특별한 예방법도 없는게 현실입니다.
모야모야병이 통계상 우리나라와 일본에서 발병률이 높게 나타나고 있는데요, 약 10%의 가족력이 있다고하니 가족중에 같은 질환을 앓고 있다면 검사를 받아보는 것이 좋습니다.
그리고 초기증상이 나타날 경우 자가진단을 통해서 빠르게 진단을 받고 2차 신경학적 결손을 예방하는 것이 최선이라 할 수 있겠습니다.